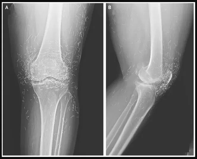
The doctors looked at an X-ray of an old woman’s knees since her joints hurt a lot. They found hundreds of small gold acupuncture needles in her tissue.
The 65-year-old woman from South Korea had already been told she had osteoarthritis, which is when the cartilage and bones in the joints break down and cause pain and stiffness. Last week, doctors wrote in the New England Journal of Medicine that she had tried acupuncture because painkillers and anti-inflammatory drugs didn’t help her knees and just made her stomach hurt.

Acupuncture is a sort of alternative medicine that uses needles to reportedly stimulate certain parts of the body to ease pain or heal a variety of maladies.
The study further says that the needles used in the woman’s acupuncture treatment were possibly made of gold and were put in her body on purpose to make her feel better.
Dr. Ali Guermazi, a radiology professor at Boston University who wasn’t involved in the case, believes that inserting needles or other things in the body might not be a good idea. It can cause swelling, abscesses, and infection if something gets lodged inside the body.
It might also make it such that a doctor can’t see an X-ray. Guermazi said, “The needles might cover up some of the body parts.”

Guermazi said, “The body wants to get rid of the foreign object.” “It starts with some kind of defense mechanism, like swelling and making fibrous tissue around the object.”
Leaving needles in the body could also cause more issues. Guermazi also said, “The patient can’t go into an MRI because needles left in the body could move and hurt an artery.”
There isn’t a lot of evidence that acupuncture can help with medical difficulties. The current report indicates that this procedure is still often used to treat sore joints. In some Asian nations, people use pieces of sterile gold thread to wrap around the joint to treat arthritis.
According to a survey by the U.S. National Institutes of Health’s National Center for Complementary and Alternative Medicine, around 3.1 million adults and 150,000 children in the U.S. used acupuncture in 2007.